
近日,山东省公共卫生临床中心神经外一科刘续磊主任团队凭借精湛技术与高效协作,成功为一名危重蛛网膜下腔出血患者实施高难度小脑下前动脉瘤夹闭术。目前患者术后恢复平稳,已顺利进入康复治疗阶段。
小脑下前动脉瘤在颅内动脉瘤中极为少见,临床发病率不足颅内动脉瘤总数的1%,但其凶险程度却不容小觑。该动脉瘤位于颅后窝深处,毗邻面听神经、脑干等重要结构,瘤体壁薄且与周围血管神经粘连紧密,一旦破裂出血,致死致残率超60%,是悬在患者生命之上的“隐形炸弹”。
面对这一棘手病例,神经外一科刘续磊主任团队迅速启动多学科会诊机制,与麻醉与围手术期医学中心金延武主任团队高效配合,为介入和开颅手术提供双重支持。在介入栓塞与开颅夹闭两种治疗方案的权衡中,团队综合评估患者动脉瘤的位置、形态及血管条件后发现,患者载瘤动脉细小、动脉瘤瘤颈宽、瘤体与血管夹角特殊,介入治疗存在密网支架选择品类受限、周围小血管闭塞等风险;而开颅夹闭术可在直视下精准处理瘤颈,更适合该患者的病情。最终,团队确定采用枕下乙状窦后入路开颅动脉瘤夹闭术。
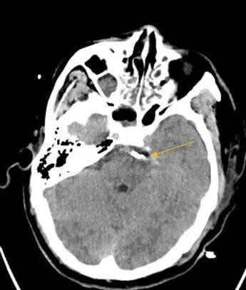
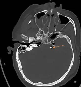
这一手术入路堪称神经外科手术的“高难度赛道”:手术区域深窄,视野暴露受限,术中操作空间极小,稍有不慎就可能损伤面听神经引发面瘫、听力障碍,或触碰脑干导致呼吸循环紊乱,手术风险极高。为确保手术万无一失,团队术前反复研读影像学资料(图1),并急诊先由主治医师张晓东、徐坤和耿仁强行脑血管造影(图2),依托神经介入指引精准标记出动脉瘤的位置、大小及与周边组织的毗邻关系;争分夺秒完善相关准备工作后行开颅动脉瘤夹闭术,术中在高倍手术显微镜下,以毫米级精度仔细分离蛛网膜粘连,小心避开神经血管“禁区”,精准选择适配的动脉瘤夹,成功将动脉瘤颈完全夹闭(图3术中动脉瘤夹位置)。术后复查头颅CT(图4)显示,动脉瘤夹位置精准,动脉瘤无残留显影,周围血管神经未受任何损伤。
此次高难度手术的成功实施,不仅体现了山东省公共卫生临床中心神经外一科在复杂颅内动脉瘤诊疗领域的雄厚实力,更彰显了团队精益求精的医者精神。未来,科室将持续深耕神经外科前沿技术,为更多脑血管疾病患者筑牢生命防线。

术前颅脑CT显示蛛网膜下腔出血;

术前脑血管DSA影像显示,红色箭头所指为小脑下前动脉瘤瘤体;

术中显微镜下操作影像显示,黄色箭头所指为已夹闭动脉瘤的动脉瘤夹;

术后头颅CT复查影像显示,动脉瘤夹位置良好,动脉瘤无显影。
场外股票配资,股票实盘配资公司,配资炒股炒股提示:文章来自网络,不代表本站观点。